www.regionalanästhesie.at | www.specialists.at
Gallerie
Kontakt
Kursmaterial
Videos / Downloads
Datenschutzerklärung
Gallerie
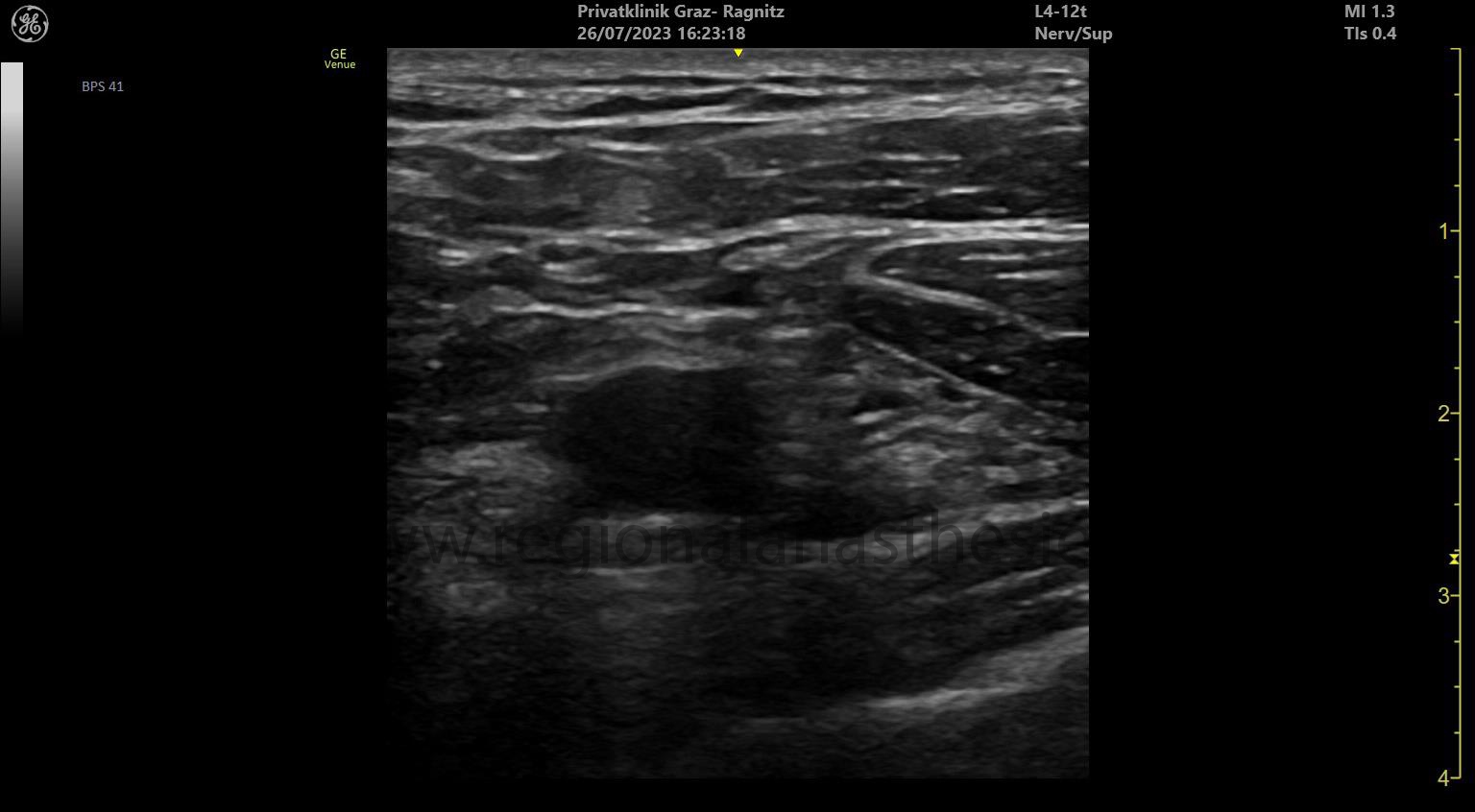
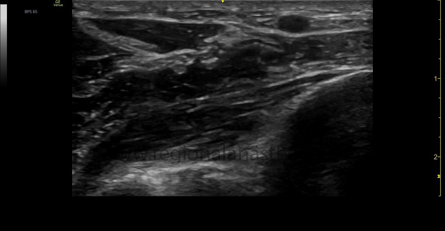
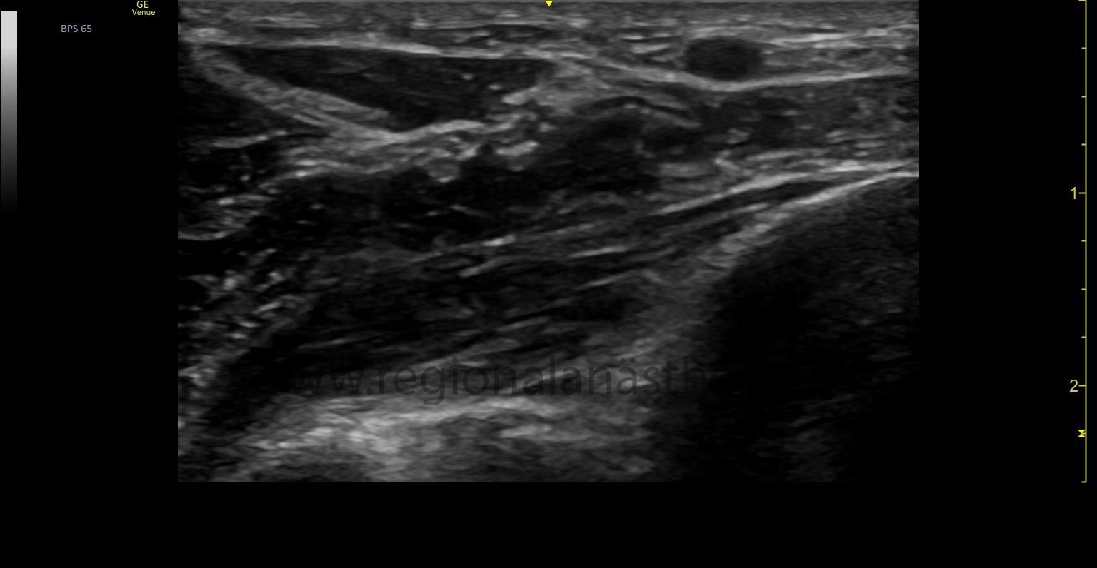
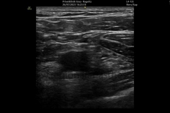
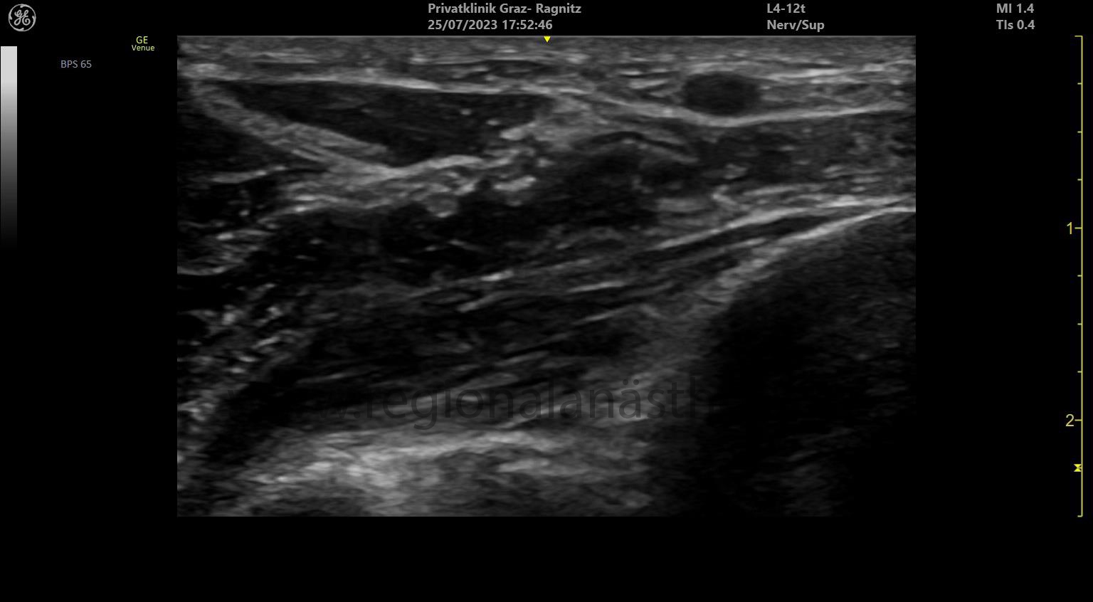
Fokus und zu viel Verstärkung im far field (TGC)
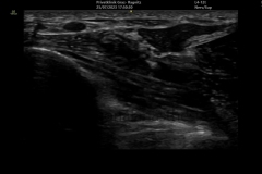
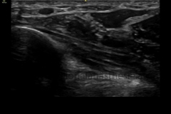
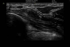
Falsches Preset, kein compund imaging
Falsches Preset, kein compund imaging
Falsches Preset, kein compund imaging
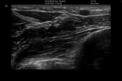
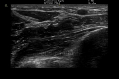
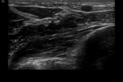
zu viel Gain
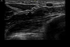
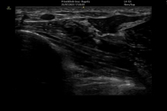
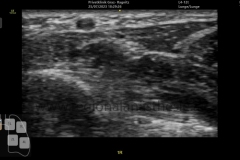
Frequenz zu niedrig
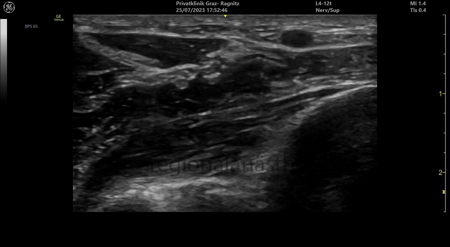
Anisotropie ausgleichen
◄
1
2